Revolutionizing Early Detection of Congenital Heart Defects Through AI.

Theodore's Heart Initiative is dedicated to transforming early Congenital Heart Defect (CHD) diagnosis using the power of Artificial Intelligence. We are driven by a profound commitment to ensure every child receives the timely care they deserve.

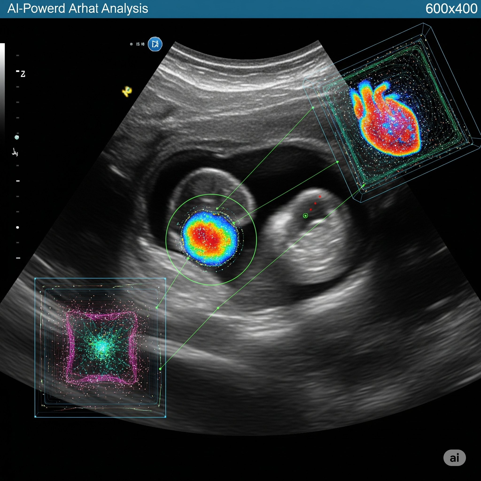
AI Powered Heart Analysis

Our Commitment

Learn about the core principles that drive Theodore's Heart Initiative.

Our Story: Inspired by Theodore

Theodore's Heart Initiative was founded in memory of our firstborn son, Theodore. He was born with an unidentified mass obstructing blood flow through his aortic arch. Within 24 hours, it was clear there was a serious issue, though the specific problem was not immediately identified.

An echocardiogram eventually imaged the obstruction, leading to his transfer to a specialized pediatric cardiology team for surgery. However, by that time, the damage to his brain was too significant, and we lost Theodore soon after.

While we cannot help our son, our experience with Theodore motivates us to act. We aim to help develop and share advancements in AI technology with medical professionals. This will improve the chances that defects like Theodore's can be identified early enough for intervention to save a child's life before irreversible damage occurs.

Our Mission

Our mission is to revolutionize early detection of Congenital Heart Defects by equipping healthcare providers with cutting-edge AI tools, ensuring timely intervention and improved outcomes for every child.

Early detection of CHD is paramount. It allows for critical interventions before irreversible damage occurs, dramatically improving a child's prognosis and quality of life. AI's ability to analyze complex data rapidly and accurately promises to elevate diagnostic capabilities to unprecedented levels.

Our Vision

We envision a healthcare landscape where every provider is empowered with intuitive AI tools, augmenting their expertise to achieve the earliest possible detection of Congenital Heart Defects during routine wellness checks, ensuring optimal health for every child.

This vision means AI tools that are not only powerful but also user-friendly, reducing the friction of adoption. By integrating advanced computer vision and machine learning seamlessly into standard prenatal and early childhood screenings, we aim to maximize detection rates and transform the standard of pediatric cardiac care worldwide.

Why Early Detection Matters

Congenital Heart Defects (CHD) are among the most common birth defects, affecting nearly 1 in 100 births. Without early and accurate diagnosis, these conditions can lead to severe, irreversible damage, impacting a child's development, lifelong health, and putting immense stress on families.

Timely intervention, often facilitated by early detection, can dramatically improve outcomes, allowing children to lead healthier, more fulfilling lives. It provides families with the crucial time needed for informed decision-making, specialized care planning, and access to vital support networks. Theodore's Heart Initiative is dedicated to making this life-saving early detection a reality for every child.

Stay Updated
Join our monthly newsletter to receive updates on our initiatives, research, and events.